- Corresponding Author:
- A. T. Pawar
Department of Pharmacology, MAEER’s Maharashtra Institute of Pharmacy, Kothrud, Pune-411 038, India
E-mail: anil_pawar31@yahoo.co.in
| Date of Submission | 29 December 2010 |
| Date of Revision | 3 March 2011 |
| Date of Acceptance | 1 April 2011 |
| Indian J Pharm Sci, 2011, 73 (1): 250-253 |
Abstract
This study was undertaken to investigate the possible effect of hydroalcoholic root extract of Rubia cordifolia against indomethacin-induced enterocolitis in rats. Male Wistar rats received vehicle or hydroalcoholic root extract of Rubia cordifolia (300 and 600 mg/kg) for 11 consecutive days. Enterocolitis was induced by subcutaneous administration of indomethacin (7.5 mg/kg) on 8th and 9th day. The colonic mucosal injury was assessed by macroscopic scoring and histopathological examination. Furthermore, the serum lactate dehydrogenase activity was estimated. Indomethacin treatment to rats produced acute intestinal inflammation, manifested by a thickening of the bowel wall, mesenteric haemorrhage, mesentery adhesion and multiple mucosal ulcers of small intestine and colon. Treatment with hydroalcoholic root extract of Rubia cordifolia revealed less damage to intestinal tissue and decreased serum lactate dehydrogenase activity which was elevated by induction of colitis. The present data suggests protective effect of Rubia cordifolia in indomethacin-induced enterocolitis and may be beneficial in patients with inflammatory bowel diseases.
Keywords
Enterocolitis, Indomethacin, Lactate dehydrogenase, Rubia cordifolia
Crohn’s disease and ulcerative colitis are chronic inflammatory disorders of the intestine that are collectively referred to as inflammatory bowel diseases (IBD) [1]. Etiopathogenesis of IBD is complex and multifactorial, and involves a genetic predisposition, environmental triggers, and microbial and immune factors; however, its pathogenesis has not been determined [2]. Inflammatory mediators such as cytokines, eicosanoids and reactive oxygen metabolites play a crucial role in the development and persistence of this disease [3].
Rubia cordifolia Linn belonging to family Rubiaceae is a well known ayurvedic herb widely used in many of the indigenous medicine for the treatment of variety of diseases [4]. A number of studies have reported for use of root of Rubia cordifolia in the treatment of variety of chronic inflammatory conditions [5]. Roots contain resinous and extractive matter, gum, sugar, coloring matter and salts of lime. Anthraquinone, pentacyclic triterpens, quinine, and cyclic hexapeptides and diethyl esters are also reported. To date, however, the possible modulatory role of Rubia cordifolia in colon inflammation has not been yet verified; hence we aimed in the current investigation to evaluate the possible protective effect of hydroalcoholic roots extract of Rubia cordifolia (HARC) in indomethacin-induced enterocolitis in rats. Here, we used hydroalcoholic solvent for extraction to extract maximum number of phytoconstituents of Rubia cordifolia roots.
The dried roots of Rubia cordifolia Linn. were received from Sami Labs, Bangalore, India, as a gift sample for research purpose. Indomethacin used in this study was obtained from, Indoco Pharmaceuticals, Mumbai.
The roots were coarsely powdered and packed in to soxhlet column and extracted with 70% v/v ethanol in water at 75-79° for 22 h. The extract obtained was evaporated at 45°, then dried and stored in airtight container. The yield of the extract was 20.3% w/w.
Male Wistar albino rats weighing between 150-200 g each were used for this experiment. They were procured from Agharkar Research Institute, Pune, India. They were housed in polypropylene cages and maintained at 27±2°, relative humidity 65±10% under 12 h light/dark cycles. The animals were given standard diet supplied by Pranav Agro Industries Ltd, Sangli, India. The study protocol was approved from the Institutional Animal Ethics Committee constituted in accordance with the rules and guidelines of the CPCSEA (Committee for the purpose of Control and Supervision of Experiments on Animals), India.
The animals were randomly divided into four groups, containing six animals in each. Group 1 served as a normal control which did not receive any treatment and maintained on regular rat food and drinking water ad libitum. All remaining groups received 7.5 mg/kg indomethacin (solubilized in 100% alcohol and then diluted with 5% w/v sodium bicarbonate solution) on two consecutive days subcutaneously. Group 2 was indomethacin treated animals without any treatment. Group 3 and 4 served as HARC treatment group, received HARC in a dose of 300 and 600 mg/kg respectively for 7 days and indomethacin on 8th and 9th day. The HARC treatment was continued till 11th day. The HARC was suspended in distilled water using gum acacia (0.5% w/v) and given once daily by oral route. The two dose levels, 300 and 600 mg/kg were used for the evaluation of protective effect of the hydroalcoholic extract of Rubia cordifolia roots in indomethacininduced enterocolitis in rats [6].
After treatment period, blood was collected from the retro-orbital sinus under anaesthetic condition. Serum was separated by centrifugation at 10 000 × g for 10 min and analyzed for LDH level. The serum LDH was estimated using kit by Transasia Bio-Medicals Ltd., India. The animals were sacrificed by cervical dislocation and dissected to remove GIT (duodenum to anus). The ileum and colon part were scored for inflammation based on macroscopic features. Tissue specimens were kept in 10% formalin for macroscopic and histopathological studies.
Rat ileum and colon pieces (10 cm long each) were removed and cut longitudinally, slightly cleaned in physiological saline to remove faecal residues. Macroscopic inflammation scores were assigned based on clinical features of the colon using an arbitrary scale ranging from 0-8 according to method previously described [7]. Briefly, 0-No visible change, 1-Hyperemia at sites, 2-Lesions having diameter 1 mm or less, 3-Lesions having diameter 2 mm or less (number <5), 4-Lesions having diameter 2 mm or less (number 5-10), 5-Lesions having diameter 2 mm or less (number >10) [7], 6-Lesions having diameter more than 2 mm (number <5), 7-Lesions having diameter more than 2 mm (number 5–10), 8-Lesions having diameter more than 2 mm (number >10).
To process for histopathological studies, colonic specimens were fixed in 10% formalin in phosphate buffered saline, embedded in paraffin and cut into 4 µm sections. Paraffin sections were deparaffinized with xylene, hydrated and stained with hematoxylin and eosin stain. The stained sections were assessed for any inflammatory changes including infiltration of cells, necrosis or damage to nucleus or tissue structures etc.
The results were expressed as mean±standard error of the mean (SEM). The statistical significance was assessed using one-way analysis of variance (ANOVA) followed by Dunnett’s comparison test and P<0.05 was considered significant.
In the present study, indomethacin treatment to male Wistar rats resulted in enterocolitis. There was significant (P<0.05) increase in the serum LDH levels in enterocolitis-induced rats. However, pre-treatment with HARC significantly prevented this change and restored it to near-normal value (Table 1). Enterocolitis induction using indomethacin caused significant increase (P<0.05) in macroscopic inflammation scores of ileum and colon tissues, which was prevented in the animals treated with HARC (Table 1).
| Group | Scores of ileum | Scores of colon | Serum LDH (U/I) |
|---|---|---|---|
| Normal control | 0.00 ± 0.00 | 0.00 ± 0.00 | 1715.7 ± 23.79 |
| Enterocolitis-induced | 7.67 ± 0.33a* | 4.00 ± 0.26a* | 2760.3 ± 55.33a* |
| HARC treated (300 mg/kg) | 4.67 ± 0.33a*b* | 2.50 ± 0.22a*b* | 2282.3 ± 33.85a*b* |
| HARC treated (600 mg/kg) | 3.17 ± 0.31a*b* | 1.67 ± 0.21a*b* | 1962.8 ± 30.48a*b* |
Hydroalcoholic root extract of Rubia cordifolia (HARC), Values are expressed as mean±SEM, Number of animals (N) = 6; *P<0.05, Comparisons are made against normalcontrol a and enterocolitis-induced b group, LDH is lactate dehydrogenase.
Table 1: Effect of harc on macroscopic scores of rat tissue (ileum and colon) and serum ldh level
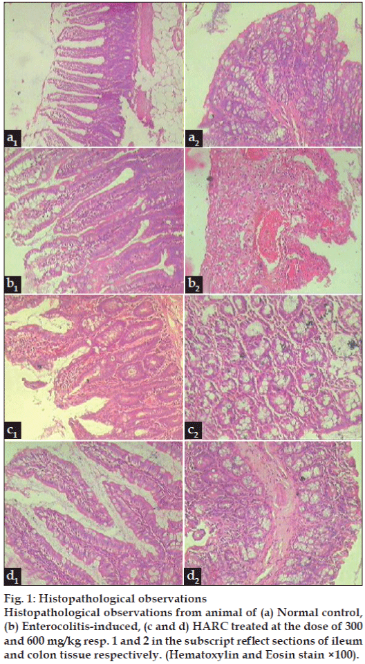
Histopathological analysis revealed no any abnormalities in the ileum and colon tissue of normal control group. On the other hand, severe inflammation was observed in the ileum and colon tissue of enterocolitis-induced rats. The intensity of inflammation in the ileum and colon tissue of HARC treated rats was less than the enterocolitis-induced rats (fig. 1).
Figure 1: Histopathological observations
Histopathological observations from animal of (a) Normal control, (b) Enterocolitis-induced, (c and d) HARC treated at the dose of 300 and 600 mg/kg resp. 1 and 2 in the subscript reflect sections of ileum and colon tissue respectively. (Hematoxylin and Eosin stain ×100).
Indomethacin, a non-selective COX inhibitor produces enterocolitis [8]. The mechanisms of indomethacin-induced enterocolitis have not been fully illustrated, but in previous reports it suggested that, initial epithelial damage is mediated partly by synthesis inhibition of the protective prostaglandins PGE1, PGE2 and prostacylin [9]. In addition, luminal bacterial and bacterial products also contribute to the inflammatory response in the indomethacin-induced colitis model [10].
In consistent with findings of previous report, in present study administration of indomethacin leads to develop acute intestinal inflammation, manifested by a thickening of the bowel wall, mesenteric haemorrhage, mesentery adhesion and multiple mucosal ulcers of small intestine and colon [7]. HARC treatment showed reduced intensity of lesions and inflammatory reaction in both ileum and colon tissue. Lactate dehydrogenase (LDH) is a cytosolic enzyme which is released into blood on cellular damage. Serum LDH activity is one of the marker of tissue injury. A significant increase in serum LDH level was observed in colitisinduced animals as consistent with findings of previous report [11]. HARC treatment decreased the elevated serum LDH levels and restored it to near-normal value.
The previous reports suggest that, a large number of herbal products are used in the treatment of IBD. Many of these substances have the ability to modulate the immune system and disrupt the proinflammatory cascade through a variety of mechanisms, including antioxidant effects, alterations in cell signalling, cytokines, proinflammatory mediators, and disruption of bacterial flora [12]. Earlier study reported a high antioxidant and antiinflammatory capacity of root extract of Rubia cordifolia Linn [13-15]. Therefore, this protective effect of HARC in indomethacin-induced enterocolitis may be due to the antioxidant and antiinflammatory constituents present in the extract.
This study suggests that the Rubia cordifolia can protect indomethacin-induced enterocolitis in rats and may be beneficial in patients with inflammatory bowel diseases. This protective effect may, at least in part, be due to their antiinflammatory and/or antioxidant actions. However, more detailed studies are essential to identify exact mechanism of action.
Acknowledgements
The authors wish to acknowledge Prof. C. D. Deshmukh and Prof. A. N. Kadam for their assistance.
References
- Wirtz S, Neurath MF. Mouse models of inflammatory bowel disease. Adv Drug Deliv Rev 2007;59:1073-83.
- Lee JY, Kang HS, Park BE, Moon HJ, Sim SS, Kim CJ. Inhibitory effects of Geijigajakyak-Tang on trinitrobenzene sulfonic acid-induced colitis. J Ethnopharmacol 2009;126:244-51.
- Paiva LA, Gurgel LA, DeSousa ET, Silveira ER, Silva RM, Santos FA, et al. Protective effect ofCopaifera langsdorffiioleo-resin against aceticacid-induced colitis in rats. J Ethnopharmacol 2004;93:51-6.
- Pawar AT, Kalyani D, Chandrasekar SB, Divakar G. Diuretic activity of root extract of Rubia cordifolia linn. Pharmacol Online 2009;1:597-603.
- Deshkar N, Tilloo S, Pande V. A comprehensive review of Rubiacordifolia Linn. Pharmacogn Rev 2008;2:124-34.
- Kalyani D, Pawar AT, Chandrasekar SB, Dighe SB, Divakar G. Protective effect of the hydro-alcoholic extract of Rubia cordifolia roots against ethylene glycol induced urolithiasis in rats. Food Chem Toxicol 2010;48:1013-8.
- Jagtap AG, Shirke SS, Phadke AS. Effect of polyherbal formulation on experimental models of inflammatory bowel disease. J Ethnopharmacol 2004;90:195-204.
- Deshmukh CD, Pawar AT, Bantal V. Effect of Emblica officinalismethanolic fruit extract on indomethacin-induced enterocolitis in rats. Res J Med Plants 2010;4:141-8.
- Jurjus AR, Khoury NN, Reimund JM. Animal models of inflammatory bowel disease. J Pharmacol Toxicol Methods 2004;50:81-92.
- Stadnicki A, Colman RW. Experimental models of inflammatory bowel disease. Arch Immunol Ther Exp (Warsz) 2003;51:149-55.
- Hager HH, Medany AE, Eter EE, Arafa M. Ameliorative effect of pyrrolidinedithiocarbamate on acetic acid induced colitis in rats. Eur J Pharmacol 2007;554:69-77.
- Triantafillidis JK. The use of natural products in the treatment of inflammatory bowel disease. Ann Gastroenterol 2008;21:14-6.
- Antarkar SS, Chinwalla T, Bhatt N. Anti-inflammatory activity of Rubiacordifolia Linn. in rats. Indian J Pharmacol 1983;15:185-8.
- Kasture SB, Kasture VS, Chopde CT. Anti-inflammatory activity of Rubia cordifolia roots. J Nat Remedies 2001;1:111-5.
- Joharapurkar AA, Zambad SP, Wanjari MM, Umathe SN. In vivo evaluation of antioxidant activity of alcoholic extract of Rubia cordifolia linn. and its influence on ethanol-inducedimmunosuppression. Indian J Pharmacol 2003;35:232-6.



